Часто ли мы задумываемся о цене человеческой жизни? Приходилось ли вам когда-нибудь стоять перед выбором: родить ребенка или сделать аборт? Можно ли назвать аборт убийством?
m.if.by
В редакцию Ребенок BY пришло письмо-исповедь девушки, которой пришлось «убить» своего ребенка. В конце письма она написала: «Я не смогла сделать правильный выбор, но, возможно, мое письмо поможет кому-то не совершить такой же ошибки».
«Говорят, чужая душа – потемки. Для меня и моя собственная является черными лабиринтами, из которых я никак не могу вырваться.
Друзья и коллеги регулярно спрашивают, как дела, все ли хорошо, более проницательные просят рассказать, что случилось, а я и слово вымолвить не могу, повторяя, как молитву, одну и ту же фразу: «Все хорошо».
«У меня все хорошо, правда, все хорошо» — а эта правда давно превратилась в заученную наизусть ложь, и искусственная улыбка-маска автоматически занимает свое место на моем лице. У меня все хорошо…
«У МЕНЯ ВСЕ ПЛОХО, ПЛОХОООО, ПЛОООХОООООО!!!» — кричу, рыдая каждый вечер в подушку.
Идея напиться и забыться не привела к запланированным результатам, переключиться на работу не удается, церковная исповедь не спасла.
Я стала ненавидеть мужчин, а от близости с ними меня тошнит, моя душа разрывается от боли при виде маленьких детей.
Убить ребенка — это самый большой грех, убить нерожденного – грех вдвойне.
www.baby.ru
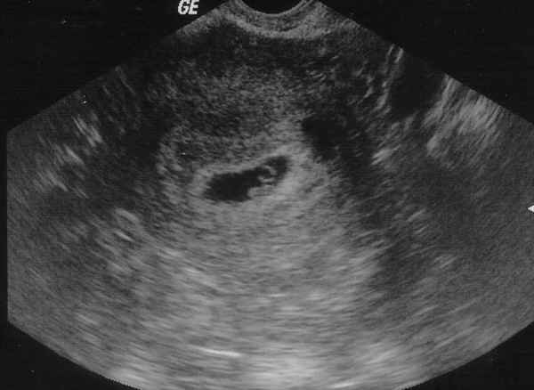
Каждый раз, закрывая глаза, я вижу маленькую горошину на мониторах аппарата УЗИ, а первое «фото» малыша я до сих пор храню у себя в блокноте. Зачем? Сама не знаю.
Врач до последнего пыталась уговорить меня не убивать ребенка
Не могу забыть и равнодушное выражение лица медсестры, которая делала аборт. «Таких как я, наверное, много…» — пронеслось у меня в голове в тот момент. «Это обычная пятиминутная процедура» — сказала она.
Больше всего на свете я хочу вернуть время назад, все нелепые оправдания моего греха сейчас превратились в просто оправдания, пустые, глупые слова, тогда же они казались весомыми аргументами… в пользу убийства.
Утраченного не вернуть и отмотать пленку назад не получится, остается только жить и верить в лучшее будущее, но имею ли я право на жизнь после того, как убила своего же ребенка?»
Уважаемые читатели! Как вы относитесь к аборту? В каких случаях аборт может быть оправдан? Ждем ваши комментарии!

